April 2006, Vol. 16, No. 2
INTRODUCTION
Have you ever wondered how much of your patient’s lateral aberrant posture/structure is a true musculo-ligamentous fixation and how much is just a neuromuscular imbalance or dysfunction? Musculoligamentous fixations require posture/structure corrective traction to be improved to as near normal as possible. Neuromuscular imbalance or dysfunction requires an active treatment of posture/ structural corrective exercise. Research is increasingly telling us that we must be as equally concerned with our patient’s neuromuscular rehabilitation as we are with their musculoligamentous rehabilitation. This is especially true if there has been a history of trauma or cumulative microtrauma to the spine.1 I believe there is an easy method to temporarily improve the neuromuscular tone/balance of the patient. Taking a lateral x-ray with them in this temporarily altered state, allows the doctor to visualize the true musculoligamentous fixations (loss of normal lordosis/kyphosis), and thereby be better able to determine which form of corrective traction is best suited to correct the patients fixations (subluxations). I will briefly present two case studies to illustrate this method.
RESEARCH ON SPINAL LIGAMENT INJURY
Dr. Deed Harrison states in the CBP® Cervical and Lumbar Rehab Seminars, that doctors who have their patients perform the CBP® Mirror Image® posture corrective exercises in-office, get better posture/structural corrections than doctors who do not.
Unfortunately, in spite of clinical information such as this, many DC’s are lack in their regard to their patient’s corrective exercise program.
They show them how to do them and hope they do.
Dr. Dan Murphy pointed out an excellent research article by Dr. M.M. Panjabi in the last issue of this journal.2 In this paper, Dr. Panjabi discusses how a single trauma or cumulative microtrauma causes subfailure injuries of the spinal ligaments, facet capsules and/or the disc annulus and their embedded mechanoreceptors. The injured mechanoreceptors generate corrupted transducer signals which lead to localized muscle dysfunction, abnormal mechanics, eventual DJD and chronic pain. It is ironic to me that we know to rehab an ankle injury with weight-bearing rocker board therapy to re-establish normal mechanoreceptive and propreoceptive function, but do not do any active neurological rehab for a cervical or lumbar injury.
One type of active, posture corrective, neurological spinal rehabilitation exists that is easy to apply either in-office or at home, takes minimal effort for the patient to perform, and is almost impossible for them to do in-correctly. It is ambulatory body weighting (See Figures 1 & 2). Body weighting has been utilized since the late 1800’s and is slowly gaining in popularity as an easy method to improve your patient’s posture and neuromuscular integrity. Especially in the young and the very flexible, ambulatory body weighting appears to be effective in reducing or eliminating abnormal anterior, posterior and/or lateral translations of the skull on thorax, thorax on pelvis and pelvis on feet. While children can be treated with body weighting in-office at 2-3x per week and achieve good correction, the post-teen patient is usually also prescribed a home body weight for daily use.
Active resistance exercise and spinal manipulation are also important in any post-trauma rehab, whether sub-acute or chronic in nature, to break-up poorly formed fibrosis and adhesions. I usually start my patients out with either head retracted, full ROM exercises and/or CBP® Mirror Image® exercises against resistance with head halter and tubing exercise equipment and progress the flexible ones to body weighting. The older, more fibrotic, stiffer Mirror Image® and ROM exercises.
Most patients will also require some form of corrective traction to remodel the fixated segments and improve the aberrant lateral cervical curvature. But which type is best. I would like to share two cases with you where body weighted stress films helped to determine which traction would be best by differentiating the neuromuscular weakness from the musculoligamentous fixations.
CASE STUDIES
Case One – A 30-year-old female with a long vertical neck presents for treatment of chronic headaches. She has a history of multiple mild to moderate neck injuries. Computerized range of motion tests demonstrated a mild restriction of flexion (45 degrees) and pronounced extension (95 degrees). Rotation was good at over 90 degrees bilaterally and there was a mild restriction of right lateral flexion. Postural inspection revealed mild to moderate forward head posture. A lateral cervical radiograph showed 25 millimeters of anterior head translation with an eight degree cervical kyphosis and only 61/2 degrees of atlas angle to horizontal.
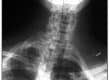
The patient was instructed in the performance of head retraction exercises and was started on Mirror Image® spinal manipulation and two-way compression extension traction. For some reason, no in-office exercise was started with this case. She was seen 2-3 times per week, and after 15 treatments, a re-evaluation was performed and a new lateral cervical x-ray was taken. The new radiograph as well as the ranges of motion was only marginally improved. The atlas angle had improved to ten degrees, but the kyphosis and anterior head translation remained basically the same. I was asked to look at the case, and on the next patient visit, I took a stress lateral cervical film with the patient wearing a four pound head weight. The atlas angle improved to 29 degrees, the anterior head translation and cervical kyphosis was completely eliminated (see x-ray Fig 3A,B). The patient was started on in-office as well as at home head weighting and her traction was changed to two-way axial extension traction (ie. Pope traction) to continue to try and improve the cervical lordosis while mildly flexing, not compressing, the occipital/atlas region.
Case Two – A 43-year-old female presents with chronic tension of the cervicothoracic and upper thoracic musculature, bilaterally with occasional, mild pain that produced a 36 percent restriction of her activities of daily living. She has no history of neck trauma, but has a long-term history of eight hour per day, head down, desk work. Computerized range of motion tests demonstrated good flexion (61 degrees) and mildly restricted extension (53 degrees). Rotation was good at over 85 degrees bilaterally and there was a mild restriction of left lateral flexion. Postural inspection revealed mild to moderate forward head posture. A lateral cervical radiograph showed 26 millimeters of anterior head translation with a 221/2 degree cervical lordosis (10 degrees at C3/C4, 121/2 degrees at C5/C6 and no curvature at the other levels). She had only six degrees of atlas angle to horizontal.
The patient was instructed in the performance of head retraction exercises and was started on Mirror Image® spinal manipulation and ambulatory extension traction with a Cervical Remodeling Collar. No other in-office exercises were preformed with this case. She was seen 2-3 times per week and after 17 treatments, a re-evaluation was performed and a new lateral cervical x-ray was taken. The new ranges of motion showed significant improvement in extension (63 degrees) and rotation. The cervical curvature was notably improved on the new radiograph with only C6/C7 having no curvature yet. The atlas angle had improved to 13 degrees, but the anterior head translation was unchanged. Because of the lack of anterior head translation reduction, a stress lateral cervical film with the patient wearing a four pound head weight was taken. The atlas angle improved to 20 degrees, the anterior head translation was reduced to four millimeters and the cervical lordosis was restored to 36 degrees (see x-ray Fig 4AB). The patient was started on in-office as well as at home head weighting and her ambulatory traction was discontinued.
CONCLUSION
In case one, I was able to totally remove a cervical kyphosis with a four pound head weight. In case two, I was able to almost completely restore the patient’s normal cervical posture/structure with the same four pound head weight. It is my belief that I was able to do this because they were only neuromuscular imbalances or dysfunctions and not true musculoligamentous fixations.
Because of my experiences with cases like these, I routinely perform stress lateral films with head weight on flexible patients with over 20 millimeters of anterior head translation when I am not absolutely sure of the improved postures effect on the patient’s structure. For these views, I use just enough weight to induce maximum visual correction of their aberrant posture. Doing this has often saved me from applying either un-necessary traction or the wrong form of traction for the patient’s specific musculoligamentous fixations.
For additional information regarding the application of body weighting, I refer the reader to a previous article I wrote for the January 2005 issue of this journal, entitled “A Brief History and Clinical Observations Regarding the Use of Body Weighting for Postural and Structural Correction”. It is available at the CBP® web-site.
REFERENCES
- Panjabi, MM. A hypothesis of chronic back pain: ligament subfailure injuries lead to muscle control dysfunction. European Spine Journal, July 27, 2005.
- Murphy, DJ. Subluxation Update, American Journal of Clinical Chiropractic, January 2006.
Figure 1
Figure 2
Figure 3 A&B
Figure 4 A&B











